Casos clínicos Coronas e implantes
Paciente
M.J.O / 16145
Edad
71 años
Sexo
Mujer
Diagnóstico inicial
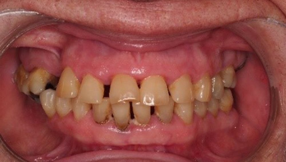
Paciente de 71 años acude a clínica con la intención de poder cambiar el aspecto de su sonrisa y su salud bucal. Tras haber realizado una exploración clínica y radiográfica, se observan: varias ausencias dentales, así como diastemas entre las piezas dentales y pérdida de dimensión vertical debido a un desgaste dental generalizado. A nivel periodontal presentaba pérdida de tejidos duros y blandos así como cálculo generalizado.
Plan de tratamiento
Tras la realización del diagnóstico, el equipo decide realizar un abordaje multidisciplinar del caso realizando: extracción de las piezas dentales con mal pronóstico, junto con la realización de raspajes periodontales por cuadrantes, colocación de implantes en los tramos edéntulos y realización de coronas para aumentar la dimensión vertical perdida, así como el cambio de color de las piezas dentales remanentes, todo ello bajo sedación consciente.
Observaciones
1º sesión: realización de profilaxis periodontal, obtención de modelos de estudio y realización de consulta pre-anestésica.
2º sesión: realización de extracciones dentales, raspajes por cuadrantes y colocación de implantes bajo sedación consciente.
3º sesión: colocación de coronas sobre implantes y dento-soportadas.





