Casos clínicos
Filtrador
- Todos los casos
- Sedación y control de la ansiedad
- Caries
- Coronas
- Implantología
- Blanqueamiento dental
- Diseño de la sonrisa
- Ortodoncia
- Periodoncia
- Prostodoncia


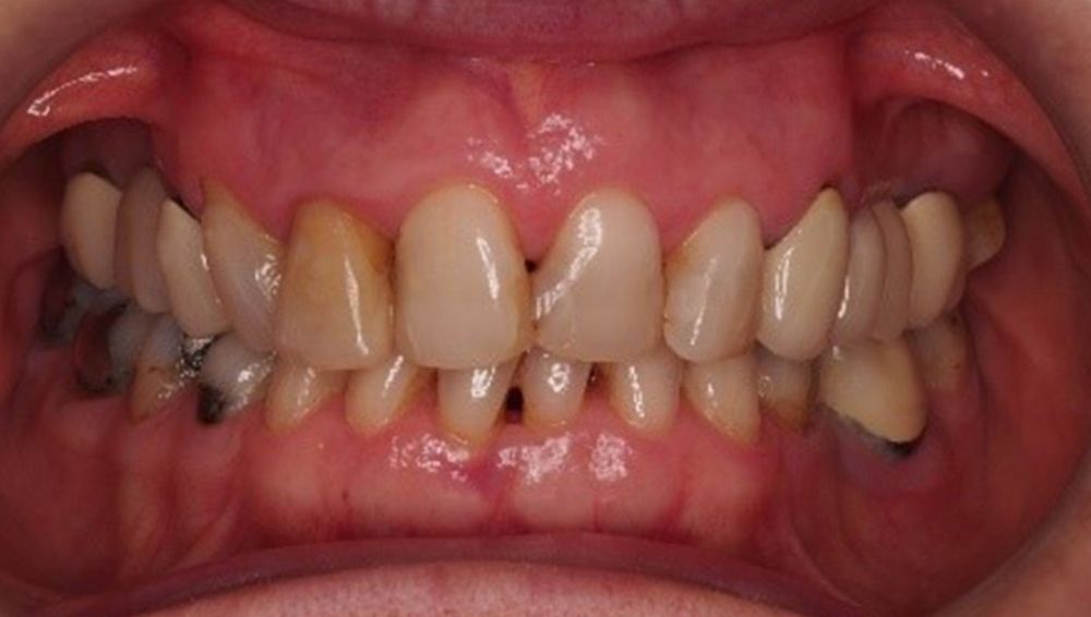
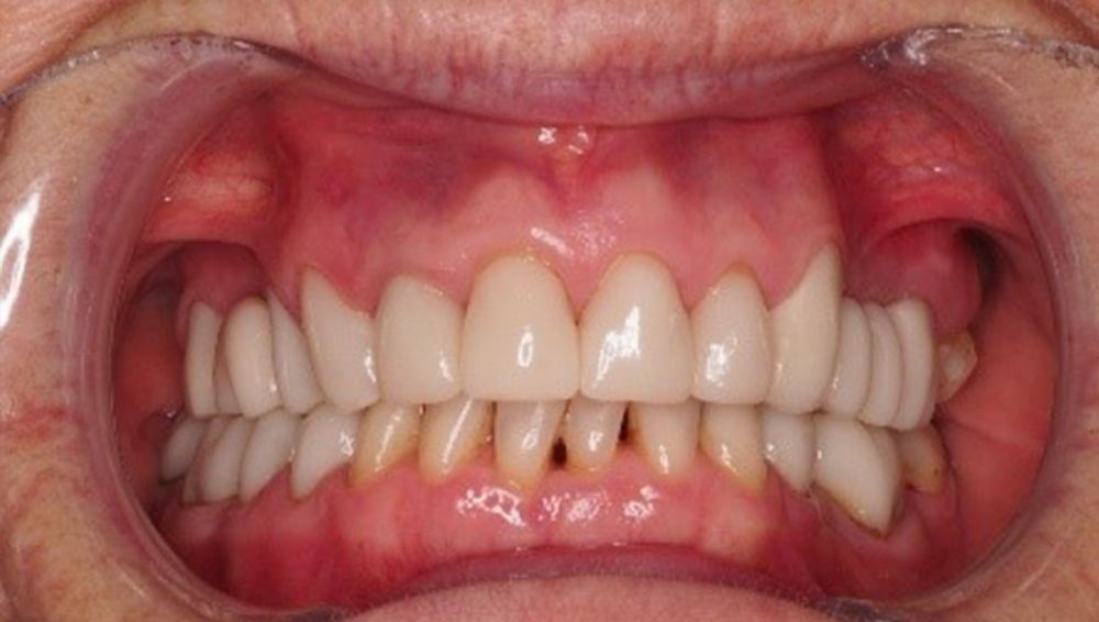
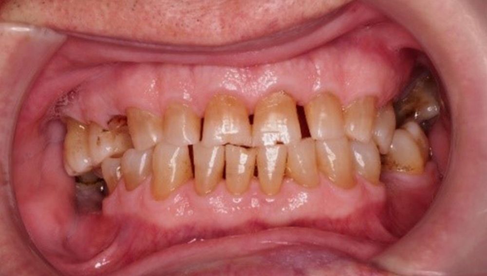
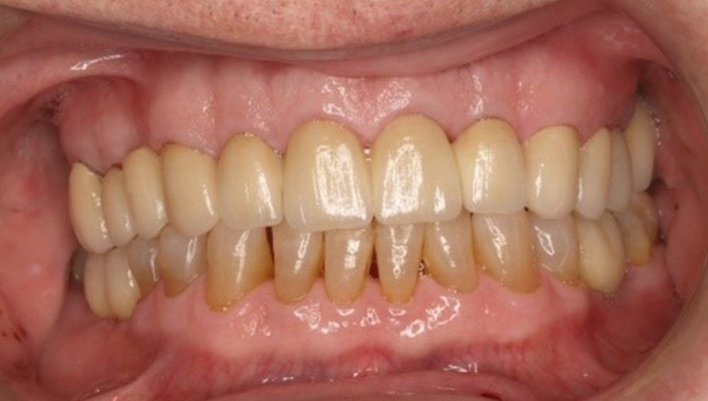
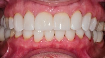
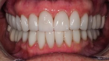
Coronas, puentes y mesoterapia
Nº de historia 14448

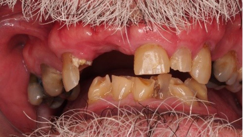
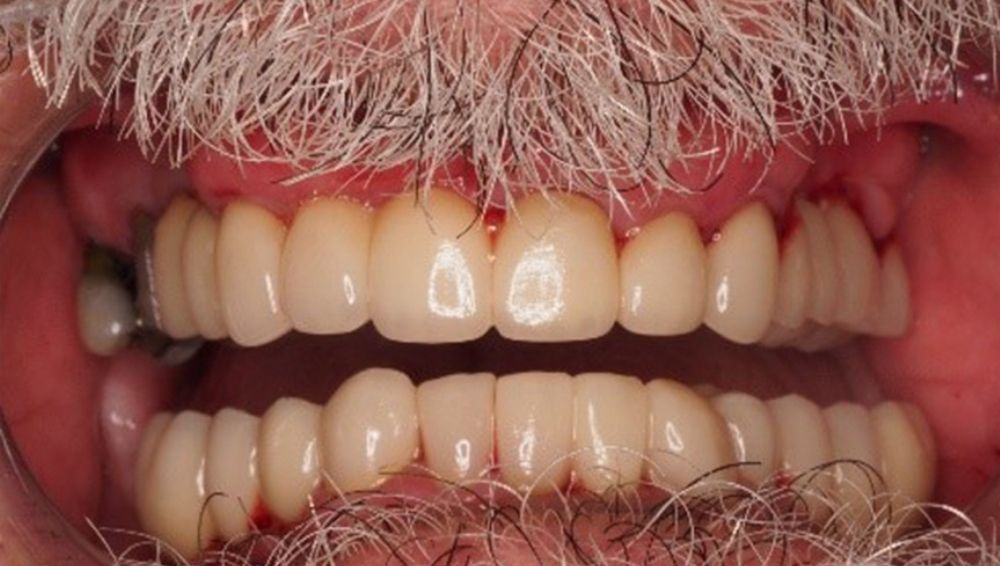
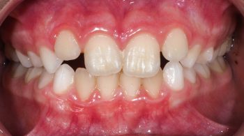
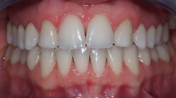
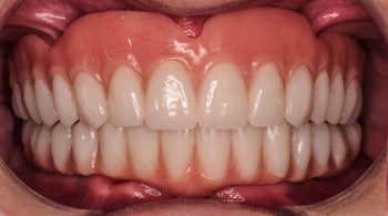
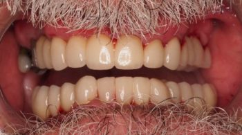
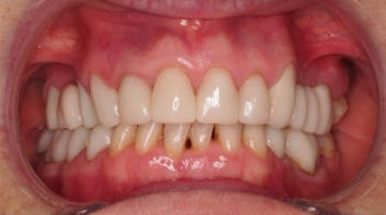
Implantes, puentes y coronas
Nº de historia 16438

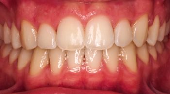
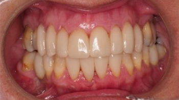
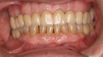
Coronas e implantes
Nº de historia 16145
