Casos clínicos Coronas, implantes y rehabilitación
Paciente
A.S.M / 13551
Edad
80 años
Sexo
Hombre
Diagnóstico inicial
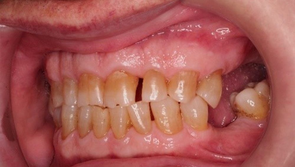
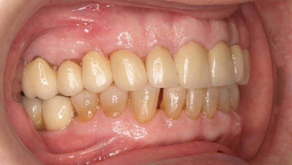
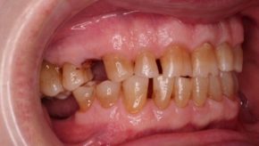
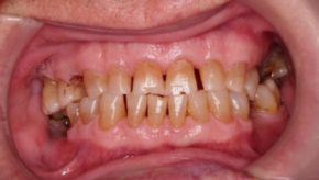
Paciente acude a clínica para poder cambiar su sonrisa, quiere hacerse una rehabilitación total. Tras la exploración clínica y radiográfica, se observan varias ausencias dentales, así como pérdida de la dimensión vertical.
Plan de tratamiento
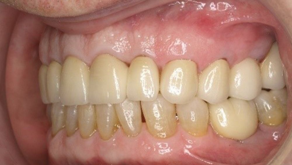
Tras el diagnóstico, el equipo decide que la mejor opción de tratamiento es: la colocación de implantes quirúrgicos, realización de coronas para aumentar nuevamente la dimensión vertical perdida y obturaciones para rehabilitación de las coronas del sector antero-inferior.
Observaciones
1º sesión: profilaxis periodontal y toma de impresiones para la rehabilitación.
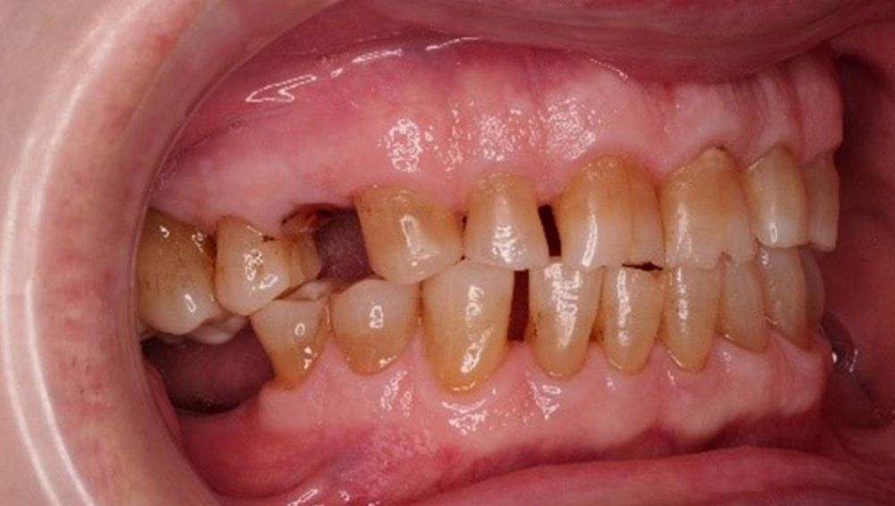
2º sesión: colocación de implantes y realización de obturaciones del sector antero-inferior y realización de provisionales.
3º sesión: rehabilitación de los implantes y colocación definitiva de las coronas.





